Es una valoración médica completa del sistema cardiovascular que incluye la revisión de antecedentes, examen físico y, cuando es necesario, estudios complementarios para analizar el estado del corazón y los vasos sanguíneos. Su objetivo es detectar factores de riesgo, identificar posibles enfermedades cardíacas y orientar medidas preventivas o tratamientos adecuados para mantener una buena salud cardiovascular.
Es una consulta orientada a detectar de manera temprana factores de riesgo y posibles alteraciones del corazón antes de que aparezcan síntomas. Mediante la revisión clínica, antecedentes y estudios complementarios cuando corresponde, permite establecer medidas de prevención y recomendaciones para cuidar la salud cardiovascular a largo plazo.
Consiste en el seguimiento médico y manejo de condiciones que pueden aumentar la probabilidad de enfermedades del corazón, como la hipertensión, colesterol elevado, diabetes, tabaquismo, obesidad o sedentarismo. Su objetivo es reducir estos riesgos mediante tratamiento, cambios en el estilo de vida y monitoreo periódico para proteger la salud cardiovascular.
Consiste en la evaluación médica y el uso de estudios especializados para identificar enfermedades del corazón y establecer el tratamiento más adecuado. Entre las patologías cardíacas más frecuentes se encuentran la hipertensión arterial, la cardiopatía isquémica, las arritmias, la insuficiencia cardíaca y las enfermedades de las válvulas del corazón. El objetivo es controlar la enfermedad, aliviar los síntomas y prevenir complicaciones cardiovasculares.
Consiste en el control médico periódico de pacientes que han sido sometidos a una angioplastia coronaria, con el objetivo de evaluar la evolución del tratamiento, supervisar el funcionamiento adecuado de las arterias tratadas y prevenir posibles complicaciones. Durante el seguimiento se revisa la medicación, los factores de riesgo cardiovascular y se orienta al paciente sobre hábitos saludables para proteger la salud del corazón.
Es la evaluación médica del estado del corazón antes de una cirugía o procedimiento médico. Permite identificar posibles riesgos cardiovasculares, revisar antecedentes y, si es necesario, solicitar estudios complementarios para asegurar que el paciente se encuentre en condiciones adecuadas y reducir complicaciones durante y después del procedimiento.
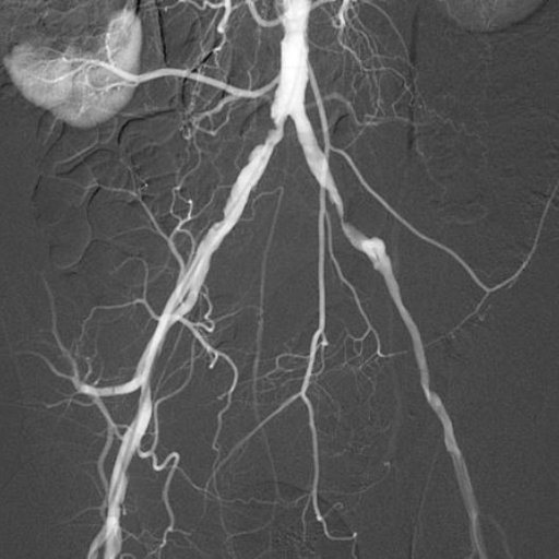
Es un estudio diagnóstico que permite visualizar las arterias mediante el uso de un medio de contraste y técnicas de imagen. Se utiliza para identificar estrechamientos, obstrucciones o alteraciones en los vasos sanguíneos, especialmente en las arterias coronarias, facilitando el diagnóstico preciso de enfermedades cardiovasculares y la planificación del tratamiento más adecuado.
Es un procedimiento diagnóstico y, en algunos casos terapéutico, que permite estudiar el funcionamiento del corazón y de las arterias coronarias mediante la introducción de un catéter delgado a través de un vaso sanguíneo. Este estudio ayuda a detectar obstrucciones, medir presiones dentro del corazón y evaluar el flujo sanguíneo, facilitando el diagnóstico y el tratamiento de diversas enfermedades cardiovasculares.
Consiste en la supervisión médica continua del estado cardiovascular del paciente durante su estancia en el hospital. Incluye la evaluación de la evolución clínica, el control de signos vitales, la revisión de estudios y la adecuación del tratamiento, con el objetivo de asegurar una recuperación adecuada y prevenir posibles complicaciones.
Una vez instalada, la app aparecerá en tu pantalla de inicio y podrás acceder sin abrir Safari.